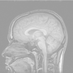
Find the corpus callosum
Research interests
Image Analysis:Object Detection and Recognition
Coarse to fine multi-class shape detection.
Visual selection and object detection
Shape recognition
2-d and 3-d image matching with elastic deformations.
Model registration through graphical templates.
Applications in biological imaging.
Network models for the biological visual system
Network architectures for invariant detection and recognition
Network models for shape recognition with biologically plausible learning rules.
Importing ideas from vision to speech recognition
Relational decision trees for robust word classification.
Robust detection of acoustic objects.